
Lungefibrose Unormal arrdannelse i lungeblærene
Definisjon
Lungefibrose er en tilstand med arrdannelse i lungevevet. Arrdannelse er kroppens vanligste måte å reparere vevsskade på, ikke bare i lungene, men i hele kroppen. Det er sammenlignbart med et arr i huden etter et kutt eller skrubbsår.
Ved lungefibrose er det unormal arrdannelse i lungevevet. Hvis utbredelsen er begrenset er pusten ikke nødvendigvis påvirket, men ved utbredt affeksjon i lungevevet vil lungefunksjonen lide.

Lunger med fibrose – arrdannelse i lungevevet:
På grunn av den utbredte arrdannelsen, blir det vanskeligere for hjertet å pumpe blod gjennom lungevevet. Den økte motstanden mot blodstrømmen forplanter seg bakover i systemet, slik at blodet blir stående “i kø” foran hjertet.

Fibrose i alveolene (lungeblærene)
Ved lungefibrose er det unormal arrdannelse i lungeblærene. Illustrasjonen viser fortykkelse av alveoleveggene (lungeblærene) og vanskeliggjort opptak av oksygen.
Lungefibrose er en samlebetegnelse for flere typer lungeaffeksjoner som medfører arrdannelse i lungevevet. Det fins flere forskjellige årsaker, og dermed ulik behandling og prognose.
Vanskelig å puste med lungefibrose'
Lungefibrose er en viktig årsak til kort pust ved anstrengelser. Lungene blir stivere og mindre elastiske, og når lungene ikke er i stand til å utvide seg i samme grad som tidligere, får du mindre volum å puste med.
Når det dannes arr i stedet for normalt lungevev, blir gassutvekslingen mellom lunge og blod dårligere enn normalt. Lungene blir stivere og mindre elastiske, og arealet som kan brukes til gassutveksling, minker.
På grunn av arrdannelsen (bindevevsdannelse = fibrose) skrumper lungene og blir ikke i stand til å utvide seg normalt. Da får du mindre volum å puste med. Har du beskjeden grad av lungefibrose, er det ikke sikkert du merker det på pusten, bortsett fra når du anstrenger deg. Men jo mer fibrose som dannes, desto mer kortpustet blir du.
Årsak
Det kan ofte være vanskelig å finne ut hva som har forårsaket sykdommen. Noen kjente årsaker:
Yrkes- og miljømessige årsaker
Det å puste inn mye støv kan over tid føre til fibrose i lungene. Ikke alle støvpartikler renses ut av lungene, men blir i stedet liggende igjen i lungevevet og kan derfor fortsette å virke mange år etter du ble utsatt for støvet.
De vanligste av disse støvsykdommene er silikose, som skyldes innånding av steinstøv med innhold av kvarts, og asbestose som opptrer mange år etter inhalasjon av asbeststøv. Mange bønder kan bli utsatt for innånding av store mengder sopp fra høystøv. Dette kan utløse en allergisk reaksjon i lungevevet som kalles Farmers Lung. Ved lengre tids eksponering kan denne sykdommen føre til lungefibrose.
Strålebehandling
Når man gir røntgenbestråling mot lungene, som for eksempel ved behandling av brystkreft, kan lungene bli skadet og få arrdannelser. Disse forandringene utvikler seg vanligvis i løpet av måneder til år etter behandlingen.
Bindevevssykdommer
Revmatiske sykdommer kan av og til involvere lungene, slik at lungefibrose oppstår. Sarkoidose kan i noen tilfeller etterlate seg fibrose i lungene. Andre sykdommer som rammer hele kroppen, som systemisk sklerose, kan også ramme lungene med fibrose som resultat.
Medikamenter
Enkelte typer medisiner kan i sjeldne tilfeller være årsak til utvikling av lungefibrose, særlig etter lang tids bruk. Eksempler på dette er enkelte hjertemedisiner (amiodaron) og cellegifter (metotrexat, bleomycin), nitrofurantoin som brukes ved urinveisinfeksjoner, dessuten statiner som brukes for å senke kolesterolet.
Idiopatisk lungefibrose (lungefibrose uten kjent årsak)
Hvis man har utelukket alle de kjente årsakene til lungefibrose, defineres tilstanden som idiopatisk lungefibrose (IPF), som rett og slett betyr lungefibrose med ukjent årsak.
Antallet nye tilfeller og antall pasienter som har idiopatisk lungefibrose, er vanskelig å anslå. Sykdommen er sjelden, og rammer anslagsvis tre til fem per 100 000 mennesker. Den opptrer hyppigst i 50–60-årsalderen og påvises sjelden hos personer yngre enn 50 år. Lungesykdommen er mer vanlig hos menn enn hos kvinner. De fleste er tidligere røkere.
Symptomer
Symptomene kommer nesten alltid “snikende”. Kort pust ved anstrengelse kombinert med tørrhoste er hovedsymptomene.
Hovne ankler ved hjertesvikt
Hvis sykdommen utvikler seg, blir selv lette fysiske anstrengelser krevende. Ved alvorlig lungefibrose kan man ha åndenød, også i hviletilstand.
På grunn av den utbredte arrdannelsen, blir det vanskeligere for hjertet å pumpe blod gjennom lungevevet. Den økte motstanden mot blodstrømmen forplanter seg bakover i systemet, slik at blodet blir stående “i kø” foran hjertet. Da kan blodtrykket i lungekretsløpet stige, og det kan oppstå pulmonal hypertensjon.
Da får hjertet et tyngre arbeid, og det kan etter hvert utvikle seg en form for hjertesvikt som noen ganger kan gi væskeansamling, ødem, rundt anklene.
Undersøkelse
De første symptomene, nedsatt pustekapasitet og hoste, er vanlige ved mange lungesykdommer og ved hjertesvikt, og det er ikke alltid så lett å stille diagnosen i en tidlig fase.
Pusteprøve og CT kan påvise lungesykdom
Sykehistorien vil være viktig for å komme på riktig spor. Lungefunksjonsprøver (pusteprøver) sier oss mye om hvilken type lungesykdom det dreier seg om.
Her vil vi påvise nedsatt lungevolum og nedsatt evne til opptak av oksygen fra luften. Lungefibrose vil som regel vises på et vanlig røntgenbilde av lungene.
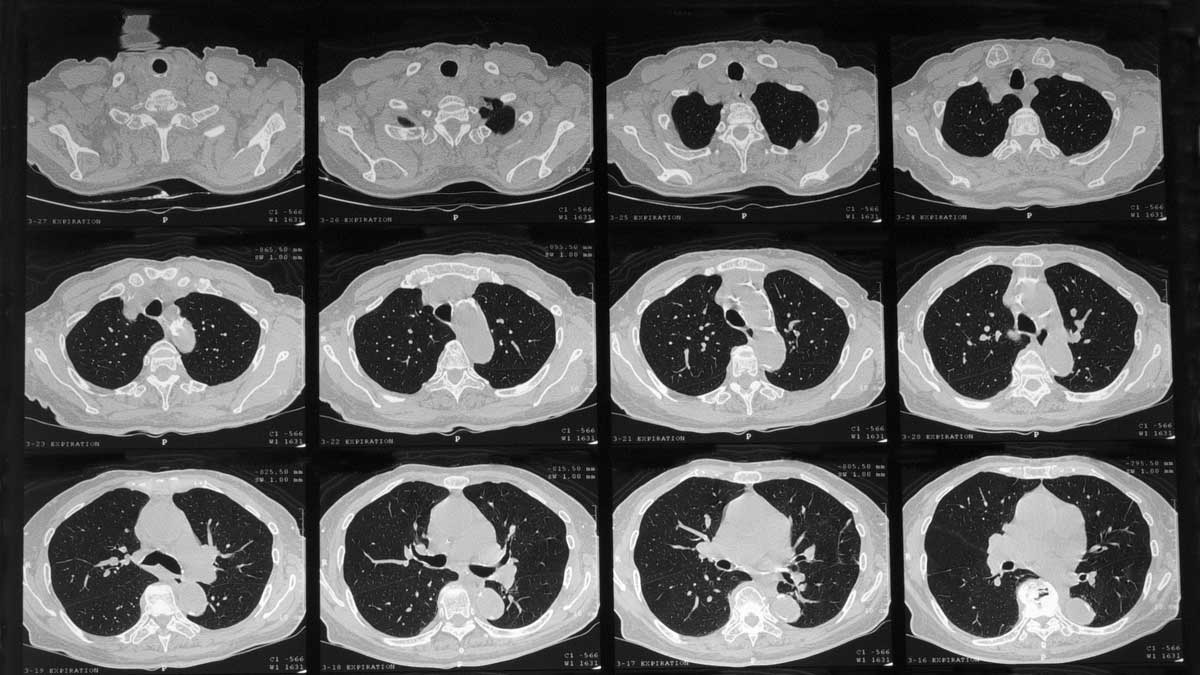
En spesiell CT-undersøkelse (HRCT) av lungene gir som regel det beste grunnlaget for å stille diagnosen lungefibrose. Enkelte ganger vil man likevel ta en vevsprøve fra lungene og undersøke denne i mikroskop.
Slik ser bildene ut når man tar en HRCT-undersøkelse.
Diagnose fra CT-undersøkelse
Ved å sammenholde resultatet fra HRCT og vevsundersøkelsen kan man i mange tilfeller finne ut hvilken type lungefibrose det dreier seg om. I de fleste tilfeller vil en trenet røntgenlege kunne gi en diagnose på bakgrunn av røntgenundersøkelsen alene.
Dette fordi røntgenundersøkelsene i dag etter hvert har fått svært god kvalitet og skarpe bilder med fine detaljer.
Behandling
Kjent årsak: I tilfeller hvor årsaken er kjent, må det gjøres tiltak for å fjerne eller redusere den skadelige påvirkningen, eventuelt behandle den underliggende medisinske tilstand best mulig.
Ved ukjent årsak til fibrosedannelsen kan man i dag prøve behandling med spesielt utviklede medisiner som kan bremse, men ikke helbrede allerede oppstått lungefibrose.
Hvilken behandling som gis avhenger av den enkelte pasients tilstand og diagnose. Noen pasienter har sykdom som er lite aktiv, da kan det være aktuelt at tilstanden observeres uten at det gis behandling.
Målet for behandlingen kan være å redusere symptomer, bremse fall i lungefunksjon og bedre livskvalitet. Behandling med medikamenter brukes for å bremse videre utvikling av fibrose i lungene. Medikamenter kan også brukes for å redusere betennelse.
Bremse sykdomsforløpet
Det er viktig at diagnosen stilles tidlig. Da vil behandlingen være mest effektiv.
De arrene som allerede er der, vil ikke forsvinne. Ettersom sykdommen er kronisk, går behandlingen ut på å bremse sykdomsforløpet og å forbedre livskvaliteten.
Behandlingsformer ved lungefibrose
Behandlingstilbudet på medikamentsiden er under endring, fordi man nå har fått utvikling av en ny type medisin på markedet. Dette er en behandling som i Norge i dag skal iverksettes av spesialister med erfaring innen diagnostisering og behandling av lungefibrose. Tidligere var behandlingen forbeholdt idiopatisk lungefibrose (IPF), men man åpner nå for å vurdere behandling også av øvrige typer lungefibrose som viser forverring.
Oksygenbehandling ved svært lave oksygenverdier i blodet brukes, og kan hos noen gi lindring av pustebesværet.
Lungetransplantasjon
Lungetransplantasjon ved lungefibrose kan vurderes hos de aller dårligste med kort forventet levetid uten slik behandling.
Dette forutsetter imidlertid at:
- Det kan skaffes en passende lunge.
- Man ikke har andre kompliserende sykdommer ved siden av.
- Man ikke er eldre enn 60–65 år gammel.
Et slikt inngrep krever en livslang og omfattende oppfølging og medisinering i etterkant.
Les mer om organtransplantasjoner
Forebygging
Det er viktig å forebygge lungeinfeksjoner, fordi det kan medføre betydelig økning av pusteproblemene og eventuelt behov for innleggelse i sykehus.
Vaksinering mot influensa og Covid-19 er anbefalt, og mot pneumokokker (lungebetennelsesbakterier) kan være aktuelt.
Rehabilitering
Hvis du har fått diagnosen lungefibrose, er det viktig å fortsette å leve som normalt og å være i aktivitet, selv om det kan føles anstrengende å røre på seg.
Legg inn hvilepauser når du blir sliten.
Balansert ernæring og gode spisevaner er viktig. Overvekt gir kroppen ekstra belastning og kan gi økte pustevansker.
På den andre siden kan for lav vekt gjøre det vanskelig for kroppen å forsvare seg mot infeksjon, og dette bør også unngås.
Video
Les mer om interessegruppen LHL Lungefibrose
Informasjonsfilm om lungefibrose
Laget av Boehringer Ingelheim.
Kilder
BMC Pulm Med. 2021 Dec 11;21(1):411. doi: 10.1186/s12890-021-01783-1. PMID: 34895203; PMCID: PMC8666028.
Skjønsberg, Ole Henning: idiopatisk pulmonal fibrose i Store medisinske leksikon på snl.no. Hentet 27. juni 2024 fra https://sml.snl.no/idiopatisk_pulmonal_fibrose
Idiopatisk lungefibrose (IPF) Indremedisineren 02, 2015, Lungemedisin, Tone Sjåheim, overlege dr.med. May Brit Lund, overlege dr.med. Avdeling for spesialisert lungemedisin, OUS Rikshospitalet
NHI.no