
Hjerneslag
Hjerneslag er en fellesbetegnelse for hjerneinfarkt og hjerneblødning.
I Norge rammes ca. 12 000 personer av hjerneslag hvert år, det tilsvarer rundt 35 nye tilfeller hver dag.
Symptomer på hjerneslag inntreffer plutselig og uventet med tap av en eller flere kroppsfunksjoner. I de fleste tilfeller skjer det gjennom halvsidig nedsatt kraft i arm/bein, talevansker (problemer med å snakke eller forstå enkle ord/setninger) eller som ansiktsskjevhet. Symptomer på hjerneslag
Andre symptomer på hjerneslag kan være nummenhet i en kroppshalvdel, synsforstyrrelser (for eksempel tap av sidesyn, dobbeltsyn eller blindhet på ett øye), nedsatt balanse eller koordinasjon eller plutselig innsettende, eksplosjonsaktig hodepine som fører til at man umiddelbart avbryter aktiviteten man holder på med.
Har du mistanke om at du - eller den du er sammen med - har fått slag, prøv å gjøre disse handlingene:
- Snakke tydelig.
- Vise tennene.
- Løfte armene.
Er en eller flere av disse handlingene vanskelig å gjøre kan det være tegn på hjerneslag. Merk at symptomene kan variere i både styrke og fremtoning.
Anne Hege Aamodt om hjerneslag
Hva er egentlig et hjerneslag? Når hjernen rammes, teller hvert sekund. Visste du for eksempel at nesten 2 millioner hjerneceller dør hvert minutt under akutt hjerneslag? Med Anne Hege Aamodt, spesialist i nevrologi, overlege, seniorforsker ved Oslo universitetssykehus, Rikshostpitalet og NTNU. Støttet av Stiftelsen Dam.
Risikofaktorer
Hjertesykdom og hjerneslag
Det er en nær sammenheng mellom hjertesykdom og hjerneslag. De to sykdomsgruppene har klare fellestrekk spesielt når det gjelder risikofaktorer, behandling og prognose.
Høyt blodtrykk og hjerneslag
Hypertensjon, omtalt som høyt blodtrykk, er den viktigste risikofaktoren for hjerneslag/TIA (Transitorisk iskemisk anfall), både for første gangs slag og for residiv.
Karotisstenoser – hvorfor haster det med utredning?
Karotisstenoser (avleiringer i halspulsårene) og hjerneinfarkt har en nær sammenheng, og man anslår at blodpropper fra de store halspulsårene kan forårsake så mange som 30 prosent av alle hjerneinfarkt.
Les mer om
Hjerneslag
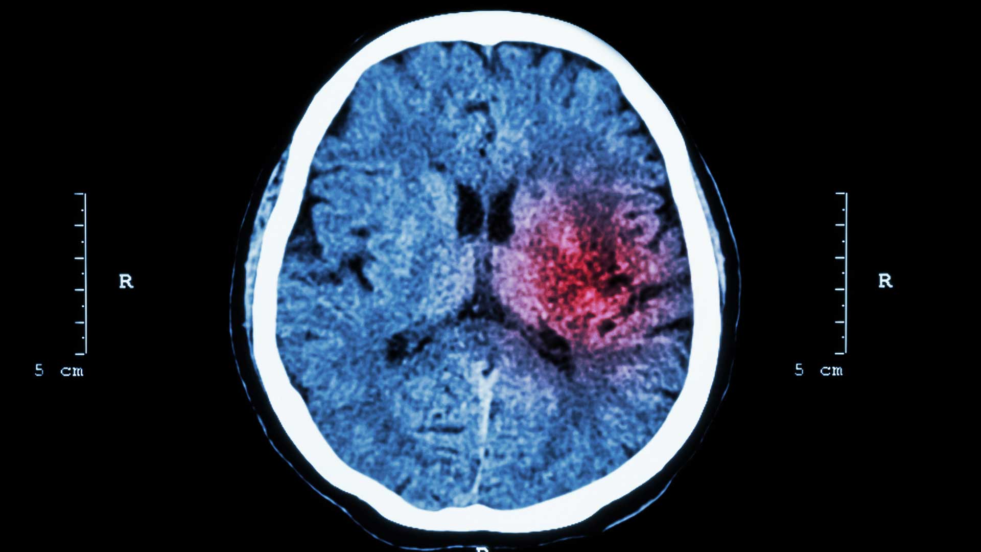
Hjerneslag skyldes enten blodpropp i hjernen eller en blødning i hjernens blodårer. Avhengig av området som rammes, kan hjerneslag gi lammelser, talevansker, synsforstyrrelser og bevisstløshet.
Hjerneinfarkt
Hjerneinfarkt skyldes enten en blodpropp som utvikler seg i en blodåre i hjernen, eller en vandrende blodpropp som er dannet et annet sted i kroppen.
TIA
TIA gir forbigående symptomer av samme karakter som ved hjerneslag, men går over etter kort tid, gjerne bare minutter. TIA kan i noen tilfeller være et forvarsel om hjerneslag, det er derfor viktig å kontakte legen raskt selv om symptomene er kortvarige. De senere år har risikoen for påfølgende hjerneslag blitt redusert.
Hjerneblødning
Hjerneblødning kan oppstå i alle deler av hjernen, eller på hjernens overflate, og omfatter mellom 10-15 prosent av alle hjerneslag.
Hjernehinneblødning
Hjernehinneblødning (subaraknoidal blødning - SAB) er en blødning i det væskefylte hulrommet mellom to av hjernehinnene som dekker hjernen.
Moyamoya
Moyamoya er japansk for diffus og tåkete og beskriver hjerneforandringene som påvises ved angiografi. Moyamoya er en sjelden cerebrovaskulær sykdom, og er ikke en revmatisk tilstand.
Hjerneslag i lillehjernen
Symptomene på skade i lillehjernen er mindre kjent enn skader andre steder ved hjerneslag. Følgetilstandene kan også være andre enn ved slag i storhjernen.
Hjerneinfarkt uten kjent årsak
Når en rammes av en alvorlig sykdom som hjerneslag er det viktig for mange å få en forklaring på hvorfor en har blitt syk. 20-40 prosent av alle hjerneslag er imidlertid hjerneinfarkt uten kjent årsak.
Hjerneslag hos barn og unge
Hjerneslag kan ramme når som helst i livet, og også barn og unge kan få slag, selv om det forekommer sjelden.
Sigdcellesykdom
Noen barn og unge er født med en sykdom som kalles sigdcellesykdom.
Les mer om

Hva skjer når du får hjerneslag?
Får du problemer med å prate, smile eller løfte må du umiddelbart ringe 113. Men hva skjer videre?
Vi følger gjennom denne arrangerte bildereportasjen en person som har fått symptomer på hjerneslag, som senere viser seg å være et hjerneinfarkt, det vil si slag forårsaket av blodpropp. Thoralf Bergersen fra Oslo, som stiller opp som markør her, har selv gjennomgått hjerneinfarkt.
Livet etter hjerneslag
Mange klarer seg bra etter et hjerneslag. Men et slag kan også føre til en ny og annerledes livssituasjon. Hjerneslaget kan svekke både den fysiske og psykiske helsen, og gi kognitive vansker. Hverdagen kan by på mange store og små utfordringer, og vår oppgave er å bidra til å gjøre den lettere:
- Råd og hjelp om hvordan du kan håndtere livet etter hjerneslag.
- Les om rettigheter en har etter et hjerneslag.
- Vi har egne likepersoner som kan være til støtte, dele erfaringer og gode råd.
- Rådgiving fra slagsykepleier og fra logoped.
Se alle våre tilbud og tjenester: Vi kan hjelpe deg
Om hjernen
Hjernekartet
Vi har laget et digitalt hjernekart, som viser deg hvordan det ser ut inne i hjernen og hvordan hjernen fungerer. Og hva som skjer når det oppstår en skade i hjernen.